差别饲料级磷酸钙盐体外抑菌效果的评估
通过体外抑菌试验,,,证实差别饲料级磷酸钙盐产品的抑菌效果保存显着差别,,,且pH值较低的产品抑菌效果更好。。。
样品:MCP、MDCP、DCP
菌种:大肠杆菌(ETECK-88)
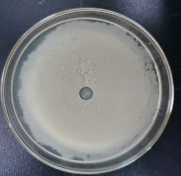
将已灭菌的牛津杯置于涂布有菌种的试验平板中,,,往杯中注入试验样品(饱和磷酸钙盐溶液),,,4℃预扩散2 h,,,37 ℃作育24 h,,,测定抑菌圈巨细。。。
抑菌圈直径:≥20 mm 很是敏感;
抑菌圈直径:10 -20 mm 敏感;
抑菌圈直径:<10 mm 不敏感。。。
试验效果如下表所示:
样品编号 | 样品名称 | 抑菌圈直径(mm) | 抑菌圈平均值 | 样品pH值 |
1# | MCP | 21.77 | 2.41 | |
2# | MCP | 18.79 | 19.89 | 2.37 |
3# | MCP | 19.11 | 2.43 | |
4# | MDCP | 10.28 | 3.01 | |
5# | MDCP | 7.74 | 9.51 | 3.00 |
6# | MDCP | 10.52 | 3.02 | |
7# | DCP | 7.35 | 7.20 | |
8# | DCP | 7.87 | 7.81 | 7.19 |
9# | DCP | 8.21 | 7.22 |
从表中可看出,,,差别类型磷酸钙盐之间保存抑菌效果的显著差别,,,其抑菌效果的顺序为MCP>MDCP>DCP;;;大肠杆菌对MCP敏感,,,抑菌圈平均直径靠近20mm;;;大肠杆菌对MDCP和DCP不敏感,,,抑菌圈平均直径均低于10mm。。。与此相对应的是,,,差别类型磷酸盐饱和溶液中pH值也呈类似纪律,,,即pH值为MCP<MDCP<DCP。。。以是,,,通过体外抑菌试验发明,,,饲料磷酸二氢钙因具有较低的pH值,,,抑菌效果显著。。。在饲料产品无抗时代,,,磷酸二氢钙是最佳的磷钙添加剂。。。
MCP MDCP DCP
